Masuk atau Daftar

Alo! Masuk dan jelajahi informasi kesehatan terkini dan terlengkap sesuai kebutuhanmu di sini!
atau dengan
Facebook
Masuk dengan Email
Masukkan Kode Verifikasi
Masukkan kode verifikasi yang telah dikirimkan melalui SMS ke nomor
Kami telah mengirim kode verifikasi. Masukkan kode tersebut untuk verifikasi
Kami telah mengirim ulang kode verifikasi. Masukkan kode tersebut untuk verifikasi
Terjadi kendala saat memproses permintaan Anda. Silakan coba kembali beberapa saat lagi.
Selanjutnya

Tidak mendapatkan kode? Kirim ulang atau Ubah Nomor Ponsel

Mohon Tunggu dalam Detik untuk kirim ulang

Apakah Anda memiliki STR?
Alo, sebelum melanjutkan proses registrasi, silakan identifikasi akun Anda.
Ya, Daftar Sebagai Dokter
Belum punya STR? Daftar Sebagai Mahasiswa

Nomor Ponsel Sudah Terdaftar

Nomor yang Anda masukkan sudah terdaftar. Silakan masuk menggunakan nomor [[phoneNumber]]

Masuk dengan Email

Silakan masukkan email Anda untuk akses Alomedika.
Lupa kata sandi ?

Masuk dengan Email

Silakan masukkan nomor ponsel Anda untuk akses Alomedika.

Masuk dengan Facebook

Silakan masukkan nomor ponsel Anda untuk verifikasi akun Alomedika.

KHUSUS UNTUK DOKTER

Logout
Masuk
Download Aplikasi
  • CME
  • Webinar
  • E-Course
  • Diskusi Dokter
  • Penyakit & Obat
    Penyakit A-Z Obat A-Z Tindakan Medis A-Z
Artikel Terkait
  • Cara Mengatasi Permasalahan pada Pemasangan Kateter Interkostal dan Water Seal Drainage
    Cara Mengatasi Permasalahan pada Pemasangan Kateter Interkostal dan Water Seal Drainage

    Dokter muda seringkali dihadapkan pada tanggung jawab untuk memeriksa dan menangani masalah pasien yang telah menjalani tindakan pemasangan kateter interkostal dan water...(Baca Selengkapnya)

  • Penggunaan Chest Tube Drainage VS Aspirasi Jarum Pada Kasus Primary Spontaneous Pneumothorax
    Penggunaan Chest Tube Drainage VS Aspirasi Jarum Pada Kasus Primary Spontaneous Pneumothorax

    Primary spontaneous pneumothorax  adalah kasus yang dapat ditangani baik dengan pemasangan chest tube drainage atau aspirasi jarum. Tujuan tindakan tersebut adalah untuk...(Baca Selengkapnya)

  • Antibiotik Profilaksis pada Trauma Toraks dengan Kateter Interkostal
    Antibiotik Profilaksis pada Trauma Toraks dengan Kateter Interkostal

    Antibiotik profilaksis sering diberikan pada pasien trauma toraks yang memerlukan pemasangan kateter interkostal atau chest tube. Hal ini bertujuan untuk menurunkan risiko infeksi...(Baca Selengkapnya)

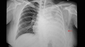
  • Rontgen vs USG Toraks untuk Diagnosis Pneumothorax
    Rontgen vs USG Toraks untuk Diagnosis Pneumothorax

    Pemeriksaan rontgen dan USG toraks merupakan modalitas yang digunakan untuk menegakan diagnosis pneumothorax. Pemilihan antara kedua pemeriksaan tersebut sering kali tidak dipahami...(Baca Selengkapnya)

  • Profil Bakteriologi Cairan Efusi Pleura
    Profil Bakteriologi Cairan Efusi Pleura

    Mengetahui profil bakteriologi cairan efusi pleura sangat penting untuk mencapai keberhasilan cakupan terapi empiris. Diketahui bahwa mortalitas efusi pleura terkait infeksi berkisar...(Baca Selengkapnya)

  • Chest Tube Bukan Terapi Lini Pertama pada Pneumotoraks Spontan Primer
    Chest Tube Bukan Terapi Lini Pertama pada Pneumotoraks Spontan Primer

    Berbagai studi telah membuktikan bahwa pemasangan chest tube atau selang dada interkostal bukan lagi merupakan terapi lini pertama pada pneumotoraks spontan primer (PSP). Selama...(Baca Selengkapnya)

  • Pemilihan Sclerosing Agent untuk Mencegah Berulangnya Efusi Pleura Masif
    Pemilihan Sclerosing Agent untuk Mencegah Berulangnya Efusi Pleura Masif

    Pemilihan sclerosing agent untuk mencegah berulangnya efusi pleura masif sampai saat ini belum ada yang dapat dianggap sebagai agent yang paling utama...(Baca Selengkapnya)

  • Waktu Tepat Pemasangan Kateter Interkostal pada Efusi Parapneumonia
    Waktu Tepat Pemasangan Kateter Interkostal pada Efusi Parapneumonia

    Efusi parapneumonia merupakan bentuk efusi pleura eksudatif sekunder oleh karena pneumonia bakterial atau virus yang sering kali membutuhkan terapi drainase dengan memasang...(Baca Selengkapnya)

  • Interpretasi Rontgen Toraks
    Interpretasi Rontgen Toraks

    Cara membaca atau interpretasi rontgen toraks (chest x-rays) memerlukan pengertian anatomi dan fisiologi dari organ dada serta pengertian akan limitasi dari pemeriksaan...(Baca Selengkapnya)

Download Aplikasi Alomedika & Ikuti CME Online-nya!
Kumpulkan poin SKP sebanyak-banyaknya!

  • Tentang Kami
  • Advertise with us
  • Syarat dan Ketentuan
  • Privasi
  • Kontak Kami

© 2024 Alomedika.com All Rights Reserved.