ALO Dokter, ada pasien laki-laki 69 tahun datang ke IGD dengan keluhan sesak nafas sejak yang meningkat dalam 1 hari ini, terutama saat posisi...
Sesak yang meningkat - ALOPALOOZA Jantung - Diskusi Dokter
general_alomedikaDiskusi Dokter
- Kembali ke komunitas
Sesak yang meningkat - ALOPALOOZA Jantung
Dibalas 25 Juni 2025, 17:31

dr.Meidina
Dokter Umum
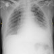
ALO Dokter, ada pasien laki-laki 69 tahun datang ke IGD dengan keluhan sesak nafas sejak yang meningkat dalam 1 hari ini, terutama saat posisi terlentang/tidur dan sesak tersebut menganggu tidur pasien. Saat ini pasien membutuhkan setinggi 2 bantal saat tidur. Apa diagnosis yang tepat ya Dok? EKG dan rontgen terlampir.


Dibuat 24 Juni 2025, 11:28
25 Juni 2025, 17:31

dr.Mario Reggynal, SpP
Dokter Spesialis Paru
Alodokter, kalau dari foto toraks, tampak infiltrat kedua lapang paru, dengan kardiomegali dan efusi pleura kiri --> curiga overload cairan. Jika dari anamnesis dan foto toraks , curiga pasien ini lebih ke ALO / edem paru akut. Mungkin akan membaik dengan pemberian furosemide. Kalau dari EKG, mungkin TS kardio yang lebih paham dok.