Pendahuluan Pemeriksaan Inspeksi Visual Asetat (IVA)
Pemeriksaan inspeksi visual asetat (IVA) merupakan pemeriksaan yang dilakukan untuk skrining kanker serviks. Kanker serviks merupakan jenis kanker dengan jumlah penderita terbanyak kedua setelah kanker payudara yang diderita wanita di Indonesia.[1-3]
Diperkirakan 70% kematian akibat kanker banyak terjadi di negara berpenghasilan rendah dan menengah, seperti Indonesia dan setiap 2 menit juga diperkirakan 1 wanita meninggal akibat kanker serviks.[4,5]
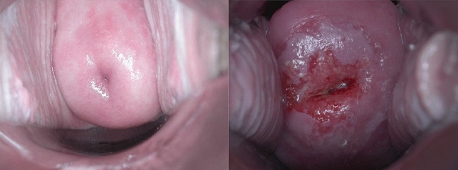
Gambar 1. Perbandingan Cervix Normal (Kiri) dan Cervix yang Mengalami Displasia (Kanan)
Pemeriksaan IVA menjadi pilihan utama skrining kanker serviks dibandingkan pemeriksaan pap smear pada daerah dengan sumber daya terbatas. Hal ini karena pemeriksaan ini dapat diaplikasikan secara luas, membutuhkan peralatan yang sederhana, dan mudah untuk dilakukan. Penggunaan pemeriksaan ini diharapkan dapat menurunkan insidensi kanker serviks akibat deteksi dan pengobatan yang dilakukan sedini mungkin.[6,7]
Indikasi pemeriksaan IVA pada seluruh wanita, mulai dari remaja hingga dewasa. Pemeriksaan ini bahkan sangat dianjurkan untuk wanita yang belum pernah melakukan pemeriksaan skrining kanker serviks sebelumnya. Pemeriksaan IVA ini menggunakan bahan asam asetat. Penilaian dilakukan setelah serviks dioleskan dengan asam asetat dan ditunggu selama kurang lebih 1 menit untuk memastikan hasilnya apakah positif atau tidak.[8,9]
Direvisi oleh: dr. Felicia Sutarli
