Masuk atau Daftar

Alo! Masuk dan jelajahi informasi kesehatan terkini dan terlengkap sesuai kebutuhanmu di sini!
atau dengan
Facebook
Masuk dengan Email
Masukkan Kode Verifikasi
Masukkan kode verifikasi yang telah dikirimkan melalui SMS ke nomor
Kami telah mengirim kode verifikasi. Masukkan kode tersebut untuk verifikasi
Kami telah mengirim ulang kode verifikasi. Masukkan kode tersebut untuk verifikasi
Terjadi kendala saat memproses permintaan Anda. Silakan coba kembali beberapa saat lagi.
Selanjutnya

Tidak mendapatkan kode? Kirim ulang atau Ubah Nomor Ponsel

Mohon Tunggu dalam Detik untuk kirim ulang

Apakah Anda memiliki STR?
Alo, sebelum melanjutkan proses registrasi, silakan identifikasi akun Anda.
Ya, Daftar Sebagai Dokter
Belum punya STR? Daftar Sebagai Mahasiswa

Nomor Ponsel Sudah Terdaftar

Nomor yang Anda masukkan sudah terdaftar. Silakan masuk menggunakan nomor [[phoneNumber]]

Masuk dengan Email

Silakan masukkan email Anda untuk akses Alomedika.
Lupa kata sandi ?

Masuk dengan Email

Silakan masukkan nomor ponsel Anda untuk akses Alomedika.

Masuk dengan Facebook

Silakan masukkan nomor ponsel Anda untuk verifikasi akun Alomedika.

KHUSUS UNTUK DOKTER

Logout
Masuk
Download Aplikasi
  • CME
  • Webinar
  • E-Course
  • Diskusi Dokter
  • Penyakit & Obat
    Penyakit A-Z Obat A-Z Tindakan Medis A-Z
Artikel Terkait
  • Perkembangan Pemeriksaan Serologi HIV
    Perkembangan Pemeriksaan Serologi HIV

    Pemeriksaan diagnostik HIV telah berkembang sejak tahun 1985, termasuk tes serologi yang terdiri dari rapid diagnostic tests (RDT), enzymes immunoassays (EIA), dan Western Blot (WB). Pemeriksaan...(Baca Selengkapnya)

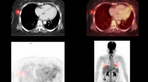
  • Peran Pemeriksaan Kedokteran Nuklir dalam Penyakit Tuberkulosis
    Peran Pemeriksaan Kedokteran Nuklir dalam Penyakit Tuberkulosis

    Pemeriksaan kedokteran nuklir bermanfaat untuk mendeteksi proses infeksi atau inflamasi di tahap awal/dini, sehingga dapat berperan dalam diagnosis penyakit tuberkulosis. Seperti diketahui,...(Baca Selengkapnya)

  • Panduan Klinis Evaluasi Batuk Kronik
    Panduan Klinis Evaluasi Batuk Kronik

    Evaluasi batuk kronis bisa menyulitkan klinisi karena ada banyak sekali kemungkinan etiologi yang mendasari, termasuk tuberkulosis paru dan asma. Secara umum, batuk...(Baca Selengkapnya)

  • Manifestasi Xerostomia dan Sialolithiasis pada Pasien HIV dengan Terapi Antiretroviral
    Manifestasi Xerostomia dan Sialolithiasis pada Pasien HIV dengan Terapi Antiretroviral

    Manifestasi gangguan kelenjar saliva pada pasien HIV sering ditandai dengan adanya xerostomia dan sialolithiasis. Sebagian besar gangguan pada kelenjar saliva ini terjadi...(Baca Selengkapnya)

  • Deteksi Dini Tuberkulosis pada Orang Dewasa dengan HIV/AIDS
    Deteksi Dini Tuberkulosis pada Orang Dewasa dengan HIV/AIDS

    Deteksi dini tuberkulosis atau TB pada orang dewasa dengan HIV/AIDS amat penting dilakukan, mengingat penderita TB dengan HIV/AIDS memiliki risiko mortalitas yang...(Baca Selengkapnya)

  • Pedoman Penggunaan Antiretroviral pada Remaja dan Dewasa dengan HIV – Ulasan Guideline Terkini
    Pedoman Penggunaan Antiretroviral pada Remaja dan Dewasa dengan HIV – Ulasan Guideline Terkini

    Pedoman penggunaan antiretroviral (ARV) dalam manajemen HIV pasien remaja dan dewasa telah dipublikasikan oleh Department of Health and Human Services Amerika Serikat...(Baca Selengkapnya)

  • Hendaya Kognitif pada Penderita HIV
    Hendaya Kognitif pada Penderita HIV

    Hendaya kognitif banyak dialami oleh pasien HIV. Hal ini merupakan bagian dari komplikasi sistem saraf pusat yang disebut sebagai HIV-associated neurocognitive disorders (HAND). Prevalensi...(Baca Selengkapnya)

  • Efek Jangka Panjang Sifilis Kongenital
    Efek Jangka Panjang Sifilis Kongenital

    Sifilis kongenital merupakan infeksi Treponema pallidum yang ditularkan dari ibu ke janin selama kehamilan dan dapat menyebabkan berbagai komplikasi serius. Efek jangka...(Baca Selengkapnya)

  • Pedoman Profilaksis Penyakit Menular Seksual Bakterial 2024 – Ulasan Guideline Terkini
    Pedoman Profilaksis Penyakit Menular Seksual Bakterial 2024 – Ulasan Guideline Terkini

    Pedoman profilaksis penyakit menular seksual bakterial dipublikasikan oleh Centers for Disease Control and Prevention (CDC) Amerika Serikat pada tahun 2024. Pedoman ini...(Baca Selengkapnya)

  • Doxycycline sebagai Profilaksis Pasca Pajanan Infeksi Menular Seksual
    Doxycycline sebagai Profilaksis Pasca Pajanan Infeksi Menular Seksual

    Penggunaan doxycycline telah dilaporkan efektif sebagai profilaksis pasca pajanan infeksi menular seksual (IMS) seperti sifilis, klamidia, dan gonorrhea. Dengan tidak adanya vaksin...(Baca Selengkapnya)

Selanjutnya >>

Download Aplikasi Alomedika & Ikuti CME Online-nya!
Kumpulkan poin SKP sebanyak-banyaknya!

  • Tentang Kami
  • Advertise with us
  • Syarat dan Ketentuan
  • Privasi
  • Kontak Kami

© 2024 Alomedika.com All Rights Reserved.