Gambaran lesi kavitas pada rontgen toraks dapat membantu penegakan diagnosis berbagai penyakit paru. Lesi kavitas pada rontgen toraks tidak hanya disebabkan oleh tuberkulosis, tetapi dapat juga karena infeksi paru akut maupun kronik lainnya, penyakit sistemik kronik, kondisi autoimun, dan keganasan primer maupun metastasis. Oleh karena itu, pemeriksaan klinis yang baik, dengan pengetahuan komprehensif terkait gambaran radiologi, sangat penting untuk membuat diagnosis yang tepat.[1-3]
Gambaran Lesi Kavitas pada Rontgen Toraks
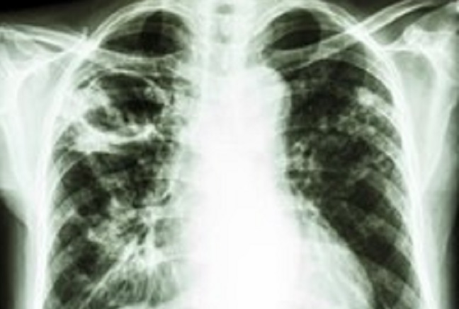
Kavitas paru secara radiologi didefinisikan sebagai area yang lusen di dalam konsolidasi, massa, atau nodul. Kavitas biasanya dibatasi dengan dinding tebal yang diameternya lebih dari 4 mm. Sementara itu, Fleischner glossary mendefinisikan kavitas sebagai ruang yang diisi gas, terlihat sebagai area lusensi atau atenuasi rendah di dalam konsolidasi, nodul, atau massa. Contoh gambaran lesi kavitas dapat dilihat pada Gambar 1 di bawah ini.[1-3]
Gambar 1. Lesi Kavitas pada Lapangan Atas Paru Kanan
Kavitas paru harus bisa dibedakan dengan kista, di mana area lusen pada kista tidak dikelilingi konsolidasi, massa, atau nodul, serta memiliki dinding yang lebih tipis.[2]
Gambaran kavitas tunggal sulit digunakan untuk membedakan penyebab dan penyakit yang mendasari, misalnya kavitas dengan air-fluid level bisa ditemukan pada kista bronkogenik dan juga pada karsinoma bronkoalveolar. Oleh karenanya, diperlukan kombinasi dari presentasi klinis, hasil laboratorium, dan gambaran rontgen toraks untuk menegakkan diagnosis secara tepat.[1]
Diagnosis Banding Lesi Kavitas pada Rontgen Toraks
Diagnosis banding lesi kavitas paru sangat banyak, dan dapat dibagi menjadi kategori infeksi dan noninfeksi. Penyebab infeksi meliputi infeksi bakteri, jamur, dan parasit. Sementara, penyebab noninfeksi terdiri dari keganasan, reumatologi, dan lesi lain yang tidak biasa seperti infark yang berhubungan dengan emboli paru.[2,4]
Presentasi klinis dan faktor risiko pada pasien harus menjadi tolok ukur penegakan diagnosis. Sebagai contoh, pada pasien usia lansia dengan riwayat merokok dan paparan zat akibat pekerjaan atau lingkungan, serta mengalami penurunan berat badan, paling mungkin mengalami kanker paru.[2]
Penyebab Infeksi
Saat awal menemukan lesi kavitas pada rontgen toraks, harus dipikirkan apakah kasus infeksi atau tidak. Presentasi klinis yang dapat mengarah ke penyebab infeksi adalah demam, batuk, keringat malam, menggigil, dan adanya komorbiditas, seperti HIV, terapi imunosupresi, atau transplantasi organ.
Di Indonesia, prevalensi tuberkulosis paru masih tinggi, sehingga sebaiknya selalu menjadi pertimbangan awal saat menemukan lesi kavitas pada rontgen toraks. Akan tetapi, selain tuberkulosis paru, terdapat penyebab infeksi lain, yaitu abses paru, necrotizing pneumonia, dan emboli septik.[1,2,4]
Tuberkulosis Paru :
Manifestasi klinis tuberkulosis paru bisa sangat jelas atau bahkan tidak spesifik. Gejala dapat berupa batuk produktif dengan/tanpa hemoptisis, demam, malaise, dan penurunan berat badan. Kavitas pada tuberkulosis dapat ditemukan pada 50% pasien, dan biasanya ditemukan pada lobus atas paru. Kavitas umumnya dikelilingi oleh nodul satelit dengan ketebalan dinding kavitas bervariasi.[1,2,5]
Abses Paru :
Abses paru umumnya timbul sebagai komplikasi pneumonia. Gejala klinis yang timbul akan konsisten dengan pneumonia, seperti batuk produktif, demam, dan nyeri dada. Abses paru berhubungan dengan faktor risiko seperti aspirasi dan kesehatan gigi yang buruk.
Pada rontgen dan CT scan toraks, abses paru bisa menunjukkan gambaran kavitas dengan atau tanpa air-fluid level, umumnya unilateral, soliter, memiliki dinding yang tebal atau intermediata. Kavitas bisa didapatkan di bagian paru manapun, tetapi lokasi tersering adalah segmen posterior lobus atas dan segmen superior lobus bawah paru.[1,2,4,5]
Emboli Septik :
Emboli paru pada pasien sepsis jarang menyebabkan gambaran kavitas. Emboli septik terjadi akibat mikroorganisme dari infeksi ekstrapulmonal membentuk trombosis pada kapiler pulmonal perifer. Gejala dan tanda emboli septik di antaranya kondisi sepsis, batuk, sesak napas, nyeri dada, hemoptisis, dan takikardia.
Gambaran radiologi akan menunjukkan nodul perifer multipel, yang dengan cepat berkembang menjadi kavitas. Kondisi ini juga sering disertai efusi pleura, empyema, dan limfadenopati hilar maupun mediastinal.[1,2,4,5]
Penyebab Noninfeksi
Penyebab noninfeksi dari lesi kavitas pada rontgen toraks meliputi keganasan, penyakit reumatologi, dan emboli paru. Gejala yang timbul di antaranya gejala konstitusional (demam, penurunan berat badan, dan keringat malam), riwayat merokok, riwayat keluarga, dan gejala sistemik nonpulmonal terkait penyebab. Pemeriksaan fisik perlu mengevaluasi adanya limfadenopati, kakeksia, ruam, clubbing, dan tanda lain yang berhubungan dengan kemungkinan diagnosis.[2]
Keganasan :
Nodul kavitas soliter umumnya disebabkan oleh keganasan. Kavitas dapat ditemukan pada kanker paru primer, seperti limfoma atau sarkoma Kaposi, maupun akibat metastasis. Kavitas ditemukan pada 7‒11% rontgen toraks dan 22% CT scan kanker paru primer. Kavitas pada keganasan dapat muncul di lokasi paru manapun, dengan bentuk yang bulat atau irregular dan ketebalan dinding yang bervariasi.[1,2,5]
Penyakit Reumatologi :
Penyakit reumatologi jarang menyebabkan lesi kavitas pada rontgen toraks. Contoh penyakit reumatologi yang dapat menyebabkan lesi kavitas adalah granulomatosis dengan polyangiitis (granulomatosis Wegener). Sebuah studi melaporkan bahwa nodul berkavitas ditemukan pada 37% pasien granulomatosis Wegener.
Penyakit reumatologi lain yang dapat menyebabkan lesi kavitas, walaupun sangat jarang, adalah rheumatoid arthritis dan sarkoidosis. Selain itu, karena pasien dengan penyakit reumatologi sering mendapat terapi imunosupresif, penyebab infeksius harus dipertimbangkan.[2]
Pada penyakit reumatologi, kavitas muncul akibat adanya sel epitel yang melapisi area nekrotik dan menimbulkan nodul nekrobiotik. Lokasi kavitas tersering adalah pada area perifer atau subpleura. Umumnya, kavitas pada penyakit reumatologi bersifat asimptomatik dan hilang sendiri tanpa pengobatan spesifik.[1]
Emboli Paru:
Emboli paru dapat menyebabkan kavitas karena adanya infark pada jaringan paru. Infark pulmonal ini terjadi pada ⅓ kasus emboli paru. Kavitas juga pernah dilaporkan pada kasus tromboemboli kronis.[2]
Kesimpulan
Kavitas paru secara radiologi didefinisikan sebagai area lusen di dalam konsolidasi, massa, atau nodul. Penyebab kavitas dapat dibagi menjadi penyebab infeksi dan noninfeksi. Contoh penyebab infeksius adalah tuberkulosis paru, emboli septik, dan abses paru. Sementara, contoh penyebab noninfeksius adalah keganasan, penyakit reumatologi, dan emboli paru.
Penegakan diagnosis sebaiknya tidak dilakukan berdasarkan temuan rontgen toraks saja. Dokter harus mempertimbangkan gambaran klinis pasien, hasil laboratorium, bahkan CT scan paru dalam menentukan diagnosis dan langkah manajemen lanjutan.
Direvisi oleh: dr. Hudiyati Agustini
