Pendahuluan Perdarahan Subaraknoid Spontan
Perdarahan subaraknoid spontan atau spontaneous subarachnoid hemorrhage (SAH) adalah stroke akibat akumulasi darah di ruang subaraknoid atau meluas ke parenkim otak atau sistem ventrikel di sekitarnya. Sekitar 5% dari kasus stroke adalah SAH, di mana +85% penyebab SAH spontan karena ruptur aneurisma otak.[1-3]
Selain akibat aneurisma otak, SAH spontan juga dapat akibat kondisi non-aneurisma, seperti malformasi arteri vena (AVM). Manifestasi klinis SAH spontan bervariasi, mulai dari nyeri kepala hebat, mual muntah, kelemahan anggota gerak, hingga penurunan kesadaran. SAH adalah kondisi yang serius dengan mortalitas mencapai 50%, serta angka kecacatan hingga 1/3 dari kasus yang selamat.[1-3]
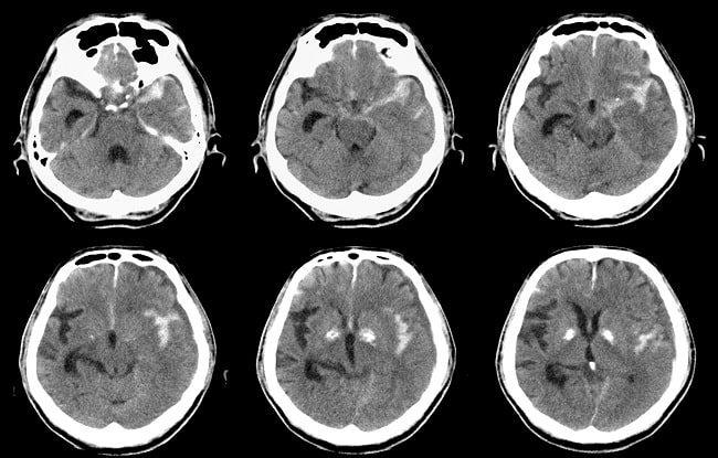
Penegakan diagnosis dan penatalaksanaan kasus SAH spontan yang cepat dan tepat sangat penting untuk dapat menurunkan angka mortalitas dan morbiditas. Diagnosis SAH spontan dapat ditegakkan secara pasti dari hasil CT scan kepala non kontras. SAH spontan perlu dicurigai pada pasien dengan keluhan sakit kepala hebat, penurunan kesadaran, kaku kuduk, dan/atau parese nervus kranialis.[1,2]
Nyeri kepala mendadak merupakan keluhan paling sering dan menjadi gejala utama dari SAH. Pasien umumnya mengatakan sebagai nyeri kepala terhebat yang dirasakan sepanjang hidupnya (thunderclap headache). Namun, ada pasien yang mengeluhkan nyeri kepala lebih ringan beberapa hari hingga minggu, sebelum terjadinya serangan thunderclap headache, yang disebut sebagai nyeri kepala sentinel sebagai tanda perdarahan minor dinding aneurisma.[1,2,4,6]
