Pendahuluan Angiografi Paru
Angiografi paru adalah pemeriksaan pencitraan pembuluh darah paru menggunakan zat kontras, yang banyak digunakan pada kasus seperti emboli paru, hipertensi pulmonal, dan kelainan vaskularisasi paru kongenital. Prosedur ini melibatkan penyuntikan kontras teriodinasi melalui kateter yang dimasukkan ke dalam arteri pulmonalis, biasanya melalui akses vena femoralis atau jugularis. Setelah itu, pencitraan diambil menggunakan CT scan atau MRI.
Angiografi paru digunakan untuk mengevaluasi aliran darah dan mengidentifikasi abnormalitas vaskular. Tindakan ini memiliki akurasi diagnostik yang tinggi meskipun membawa risiko komplikasi seperti reaksi alergi terhadap agen kontras, cedera vaskular, atau emboli kontras.
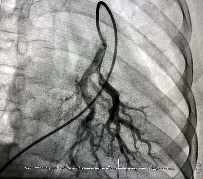
Visualisasi arteri pulmonalis penting untuk diagnosis dan intervensi berbagai kondisi pulmonal, seperti emboli paru, malformasi arteriovenosa, dan hipertensi pulmonal. Secara garis besar, angiografi paru dibagi menjadi dua, yakni invasif non-invasif. Angiografi paru non-invasif biasa disebut dengan Computed Tomography Pulmonary Angiography (CTPA), sedangkan angiografi invasif biasa disebut dengan Invasive Pulmonary Angiography (IPA).
Pada CTPA, bahan kontras teriodinasi diberikan intravena dengan kecepatan 3–5 mL/detik, dan pemindaian dimulai otomatis setelah kontras mencapai ambang batas 120 Hounsfield Units (HU) di arteri pulmonalis utama. Sementara itu, IPA dilakukan dengan memasukkan kateter ke vena, mengarahkannya ke arteri pulmonalis di bawah fluoroskopi, lalu menyuntikkan bahan kontras untuk memvisualisasikan pembuluh darah dan menilai hemodinamik.[1-4]
