Masuk atau Daftar

Alo! Masuk dan jelajahi informasi kesehatan terkini dan terlengkap sesuai kebutuhanmu di sini!
atau dengan
Facebook
Masuk dengan Email
Masukkan Kode Verifikasi
Masukkan kode verifikasi yang telah dikirimkan melalui SMS ke nomor
Kami telah mengirim kode verifikasi. Masukkan kode tersebut untuk verifikasi
Kami telah mengirim ulang kode verifikasi. Masukkan kode tersebut untuk verifikasi
Terjadi kendala saat memproses permintaan Anda. Silakan coba kembali beberapa saat lagi.
Selanjutnya

Tidak mendapatkan kode? Kirim ulang atau Ubah Nomor Ponsel

Mohon Tunggu dalam Detik untuk kirim ulang

Apakah Anda memiliki STR?
Alo, sebelum melanjutkan proses registrasi, silakan identifikasi akun Anda.
Ya, Daftar Sebagai Dokter
Belum punya STR? Daftar Sebagai Mahasiswa

Nomor Ponsel Sudah Terdaftar

Nomor yang Anda masukkan sudah terdaftar. Silakan masuk menggunakan nomor [[phoneNumber]]

Masuk dengan Email

Silakan masukkan email Anda untuk akses Alomedika.
Lupa kata sandi ?

Masuk dengan Email

Silakan masukkan nomor ponsel Anda untuk akses Alomedika.

Masuk dengan Facebook

Silakan masukkan nomor ponsel Anda untuk verifikasi akun Alomedika.

KHUSUS UNTUK DOKTER

Logout
Masuk
Download Aplikasi
  • CME
  • Webinar
  • E-Course
  • Diskusi Dokter
  • Penyakit & Obat
    Penyakit A-Z Obat A-Z Tindakan Medis A-Z
Transthoracic Needle Aspiration general_alomedika 2023-07-25T13:43:25+07:00 2023-07-25T13:43:25+07:00
Transthoracic Needle Aspiration
  • Pendahuluan
  • Indikasi
  • Kontraindikasi
  • Teknik
  • Komplikasi
  • Edukasi Pasien
  • Pedoman Klinis

Pendahuluan Transthoracic Needle Aspiration

Oleh :
dr. Rifan Eka Putra Nasution
Share To Social Media:

Transthoracic needle aspiration (TTNA) adalah tindakan biopsi jaringan paru dan organ di sekitarnya, yang biasa dilakukan untuk diagnosis kanker paru, lesi pleura, dan tumor mediastinum. Tindakan ini bersifat aman, cepat, dan efektif untuk menentukan berbagai jenis penyakit paru, terutama keganasan. Prosedur biopsi melalui TTNA menjadi lebih akurat dan efisien karena telah disertai dengan peningkatan teknologi pencitraan dan teknik sitopatologi.

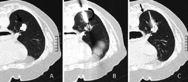
Indikasi TTNA adalah adanya lesi paru, pleura, atau mediastinum yang diduga sebagai neoplasma metastasis, nonoperatif, atau rekuren. Selain itu, tindakan ini juga diindikasikan pada pasien dengan dugaan infeksi paru untuk mengambil sampel kultur.

Sumber Gambar: Openi, 2015.

Mayoritas prosedur TTNA dilakukan pada pasien rawat jalan dengan menggunakan anestesi lokal, dengan atau tanpa sedasi. Tindakan ini disarankan untuk dituntun oleh USG toraks atau CT scan toraks, untuk mengurangi risiko komplikasi. Contoh komplikasi yang bisa muncul karena TTNA adalah pneumothorax, perdarahan, hemoptisis, dan emboli udara. TTNA juga berpotensi menyebabkan tumor seeding.[1-7]

Referensi

1. McLean AEB, Barnes DJ, Troy LK. Diagnosing Lung Cancer: The Complexities of Obtaining a Tissue Diagnosis in the Era of Minimally Invasive and Personalised Medicine. J Clin Med. 2018;7. doi:10.3390/jcm7070163.
2. Chockalingam A, Hong K. Transthoracic needle aspiration: the past, present and future. J Thorac Dis. 2015;7:S292-9. doi:10.3978/j.issn.2072-1439.2015.12.01.
3. DiBardino DM, Yarmus LB, Semaan RW. Transthoracic needle biopsy of the lung. J Thorac Dis. 2015;7:S304-16. doi:10.3978/j.issn.2072-1439.2015.12.16.
4. Yang W, Jiang H, Khan AN, et al. Transthoracic needle aspiration in solitary pulmonary nodule. Transl Lung Cancer Res. 2017;6:76–85. doi:10.21037/tlcr.2017.02.03.
5. Reck M, Rabe KF. Precision Diagnosis and Treatment for Advanced Non-Small-Cell Lung Cancer. N Engl J Med. 2017;377:849–61. doi:10.1056/NEJMra1703413.
6. Yoon SH, Lee SM, Park CH, et al. 2020 Clinical Practice Guideline for Percutaneous Transthoracic Needle Biopsy of Pulmonary Lesions: A Consensus Statement and Recommendations of the Korean Society of Thoracic Radiology. Korean J Radiol 2020. doi:10.3348/kjr.2020.0137.
7. Arias S, Yarmus L, Argento AC. Navigational transbronchial needle aspiration, percutaneous needle aspiration and its future. J Thorac Dis. 2015;7:S317-28. doi:10.3978/j.issn.2072-1439.2015.11.16.

(Konten ini khusus untuk dokter. Registrasi untuk baca selengkapnya)

Masuk atau Daftar

Masuk dengan Nomor Ponsel

atau dengan
Facebook
Masuk dengan Email
Indikasi Transthoracic Needle As...

Artikel Terkait

  • Pelebaran Mediastinum pada Rontgen Thorax Pasien Dewasa
    Pelebaran Mediastinum pada Rontgen Thorax Pasien Dewasa
  • Pemeriksaan untuk Pasien Hemoptisis
    Pemeriksaan untuk Pasien Hemoptisis
  • Red Flags Batuk Kronis
    Red Flags Batuk Kronis
  • Risiko Kanker Akibat CT Scan
    Risiko Kanker Akibat CT Scan
  • Peran Radiasi pada Kasus Metastasis ke Vertebrae
    Peran Radiasi pada Kasus Metastasis ke Vertebrae

Lebih Lanjut

Diskusi Terkait
dr.Nur Rachmawati Hanafiah
Dibuat 21 Januari 2026, 18:32
Hasil Biopsi Thymic carcinoma DD/ Mucoepidermoid, tetapi hasil IHC Ca Paru
Oleh: dr.Nur Rachmawati Hanafiah
0 Balasan
Alo dokter, izin bertanya. Saya ada pasien laki2 berusia 66 th dengan efusi perikardial. Sudah dilakukan perikardiosintesis dan di cek di lab, hasilnya...
dr.Elizabeth Anastasya
Dibalas 30 Juni 2025, 13:24
Nyeri dada pada pasien dengan Ca Paru - ALOPALOOZA Paru-paru
Oleh: dr.Elizabeth Anastasya
2 Balasan
Pasien wanita 25 tahun mengeluhkan nyeri pada dada kanan yang meningkat sejak 2 bulan sebelum masuk rumah sakit. Nyeri sudah dirasakan sejak 1 tahun ini....
dr.Rinata Ayu Mayangsari
Dibalas 05 Agustus 2024, 22:17
Simvastatin untuk pengobatan dislipidemia pada penderita ca paru sedang kemoterapi?
Oleh: dr.Rinata Ayu Mayangsari
2 Balasan
Alo dokter. Saya dapat pasien dengan kadar kolesterol total 355 sedang menjalani kemoterapi, apakah tepat jika saya berikan simvastatin atau perlu saya rujuk...

Lebih Lanjut

Download Aplikasi Alomedika & Ikuti CME Online-nya!
Kumpulkan poin SKP sebanyak-banyaknya!

  • Tentang Kami
  • Advertise with us
  • Syarat dan Ketentuan
  • Privasi
  • Kontak Kami

© 2024 Alomedika.com All Rights Reserved.