Pendahuluan Emboli Paru
Emboli paru adalah kejadian trombotik dimana terjadi obstruksi arteri di paru. Emboli paru merupakan penyakit kardiovaskular ketiga tersering setelah infark miokard dan stroke. Emboli paru umumnya berkaitan dengan lepasnya thrombus yang terbentuk dalam vena, terutama dari tungkai bawah.
Lepasnya thrombus menyebabkan penyumbatan pada vaskularisasi pulmoner, menghalangi aliran darah dari ventrikel kanan jantung ke paru untuk pertukaran oksigen, mengakibatkan berkurangnya oksigenasi darah. Selain itu, peningkatan resistensi menyebabkan peningkatan tekanan di sisi kanan jantung, yang dapat menyebabkan penurunan curah jantung, gangguan perfusi sistemik, dan gagal jantung.[1,2]
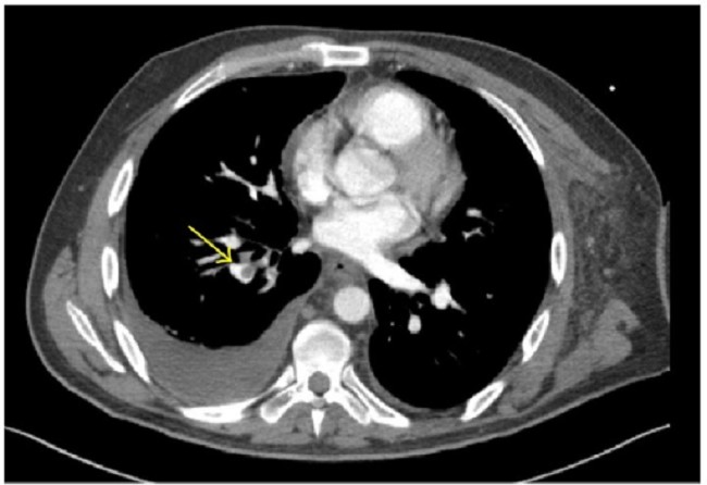
Gambar 1. CT angiografi emboli paru. (Sumber : Openi, 2014)
Presentasi klinis emboli paru sering tidak spesifik dan mirip dengan berbagai kondisi lain. Evaluasi awal biasanya mencakup riwayat pasien, pemeriksaan fisik, dan stratifikasi klinis. Pasien yang lebih berisiko mengalami emboli paru antara lain mereka yang memiliki riwayat deep vein thrombosis, menjalani tindakan bedah dalam waktu dekat, ataupun keganasan.
Tes laboratorium seperti kadar D-dimer, dikombinasikan menggunakan sistem skor Kriteria Well’s, dapat membantu penilaian risiko, tetapi hasil positif sebaiknya dikonfirmasi melalui modalitas pencitraan seperti computed tomography pulmonary angiography (CTPA) atau pemindaian ventilasi-perfusi (V/Q). Teknik pencitraan ini mampu memvisualisasikan pembuluh darah paru dan pola perfusi.
Pemberian antikoagulan seperti heparin atau direct oral anticoagulants (DOACs) mungkin bermanfaat pada beberapa kasus ringan untuk mencegah obstruksi lebih lanjut dan menghilangkan obstruksi. Pada kasus lebih berat, terutama yang mengalami ketidakstabilan hemodinamik, terapi trombolitik akan diperlukan. Intervensi bedah seperti embolektomi bisa menjadi pilihan pada pasien yang kontraindikasi mendapat trombolisis.[1-3]
